O canal cervical difere em mulheres no mecname e na menopausa. Usualmente no exame histeroscópico, o canal cervical é dividido em três porções:
Primeira porção ou setor proximal ou setor inferior:
Durante a fase proliferativa, encontramos muco claro e cristalino pouco aderente à óptica. As criptas e as papilas apresentam-se um pouco edemaciadas e vascularizadas, micro vesicular, lembrando cachos de uva.
Segunda porção ou setor médio
No terço ou setor médio do canal cervical perdemos o detalhe das papilas, sendo possível a visualização de pregas e criptas. Normalmente observamos os sulcos longitudinais, que são os tecidos mais compactos, com a superfície mais vascularizada, cujos vasos seguem o seu trajeto.
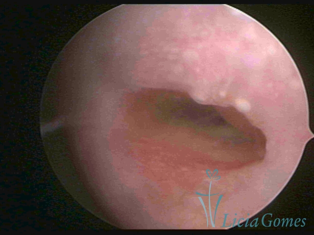
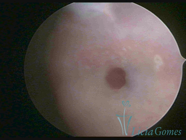
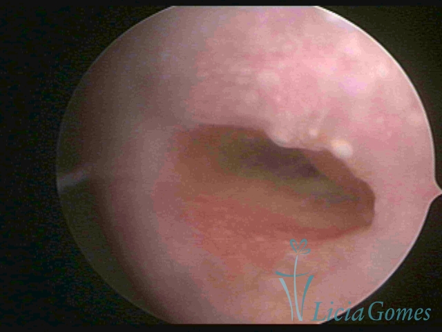
Terceira porção ou porção superior
Apresenta a mucosa com a superfície lisa e pouco vascularizada até a altura do orifício interno























































