Brasil
Brasil
Global
Menu
Quem sou
Serviço
Atlas de Histeroscopia
Fale conosco
Quem sou
Serviço
Atlas de Histeroscopia
Fale conosco
Voltar
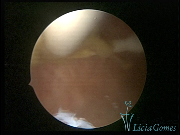
Canal cervical com fio do DIU
×
Canal cervical com fio do DIU
×
Canal cervical com fio do DIU
×
Canal cervical com fio do DIU
×
Canal cervical trófico, com o fio de Mirena®
×
Cavidade uterina com DIU e muco claro acumulado
×
Cavidade uterina com DIU, envelhecido e dobrado
×
Cavidade uterina com DIU
×
Cavidade uterina com DIU
×
Cavidade uterina com DIU
×
Cavidade uterina com DIU
×
Cavidade uterina com DIU
×
Cavidade uterina com DIU
×
Cavidade uterina com DIU
×
Cavidade com DIU
×
Cavidade uterina com DIU
×
Cavidade uterina com DIU
×
Cavidade uterina com DIU
×
Cavidade uterina com DIU
×
Cavidade uterina com DIU
×
Cavidade uterina com endoceptivo tipo Mirena®
×
Cavidade uterina com endoceptivo tipo Mirena®
×
Cavidade uterina com endoceptivo tipo Mirena®
×
Cavidade uterina com endoceptivo tipo Mirena®
×
Cavidade uterina com endoceptivo tipo Mirena®
×
Cavidade uterina com endoceptivo tipo Mirena®
×
Cavidade uterina com endoceptivo tipo Mirena®, envolto em secreção purulenta
×
Cavidade uterina com endoceptivo tipo Mirena®, envolto em secreção purulenta
×
Cavidade uterina com endoceptivo tipo Mirena®, envolto em secreção purulenta
×
Cavidade uterina com endoceptivo tipo Mirena®, envolto em secreção purulenta
×
Cavidade com o Mirena®, sendo retirado sob visão direta
×
Cavidade uterina com DIU
×
Cavidade uterina com DIU T de cobre e muco acumulado
×
Cicatriz de cesárea com fio de sutura, não absorvido, como corpo estranho
×
Cicatriz de cesárea com fio de sutura, não absorvido, como corpo estranho
×
Cicatriz de cesárea com fio de sutura, não absorvido, como corpo estranho
×
Cicatriz de cesárea com fio de sutura, não absorvido, como corpo estranho
×
Colo uterino com o fio do Mirena®
×
Dispositivo Mirena® e um mioma submucoso
×
Dispositivo Mirena® e um mioma submucoso
×
Dispositivo Mirena® e um mioma submucoso
×
Dispositivo Mirena® e um mioma submucoso
×
Cavidade uterina com DIU normoposicionado
×
Cavidade uterina com resíduo de DIU, fragmentado, colocado há 46 anos
×
Cavidade uterina DIU multiload em região cornual esquerda
×
DIU normo inserido
×
DIU normo inserido
×
DIU perfurado miométrio
×
Extremidade distal do DIU
×
Mirena e mioma
×
Mirena e mioma
×
Mirena e mioma
×
Mirena e mioma
×
Cavidade uterina com o dispositivo Mirena® normoposicionado
×
Mirena® normoposicionado
×
DIU e pólipo envolto
×
DIU e pólipo envolto
×
DIU e pólipo envolto
×
DIU e pólipo envolto
×
DIU e pólipo envolto
×
DIU e pólipo envolto
×
DIU e pólipo envolto
×
DIU e pólipo envolto
×
DIU e pólipo envolto
×
DIU e pólipo envolto
×
DIU e pólipo envolto
×
Resíduo do material do DIU solto em cavidade uterina
×
Resíduo do material do DIU solto em cavidade uterina
×
Resíduo do material do DIU solto em cavidade uterina
×
Resíduo do material do DIU solto em cavidade uterina
×
Resíduo do material do DIU solto em cavidade uterina
×
mirena normoposicionado
×
CAVIDADE UTERINA COM DISPOSITIVO INTRA UTERINO
1
2
3
4
5
6
7
8
9
10
11
12
13
14
15
16
17
18
19
20
21
22
23
24
25
26
27
28
29
30
31
32
33
34
35
36
37
38
39
40
41
42
43
44
45
46
47
48
49
50
51
52
53
54
55
56
57
58
59
60
61
62
63