Brasil
Brasil
Global
Menu
Quem sou
Serviço
Atlas de Histeroscopia
Fale conosco
Quem sou
Serviço
Atlas de Histeroscopia
Fale conosco
Voltar
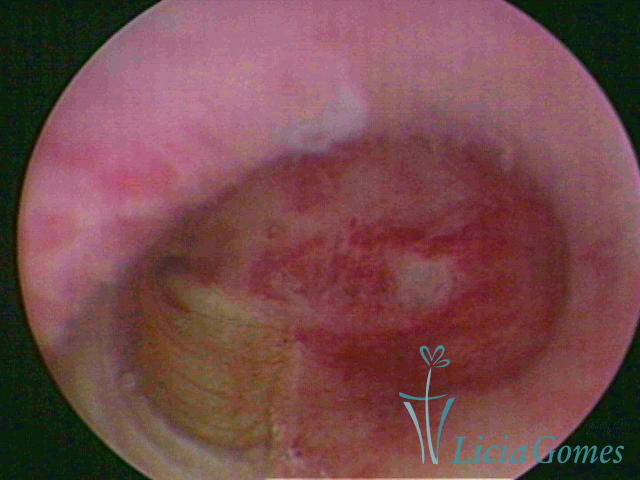
Caso 1: pólipo endometrial início da cirurgia
×
Caso 1: após a polipectomia
×
Caso 1 após a polipectomia
×
Caso 1 pólipo endometrial início da cirurgia
×
Caso 2: após polipectomia
×
Caso 2: após polipectomia
×
Caso 2: ínicio da cirurgia pólipo endometrial início
×
Caso 3 após a polectomia
×
Caso 3: início da polipectomia
×
Caso 4: início da polipectomia com alça semi circular bipolar
×
Caso 4: cavidade uterina após polipectomia
×
Caso 5: início da polipectomia
×
Caso 5: após a polipectomia
×
Caso 6: após a polipectomia
×
Caso 6: início da polipectomia e endocervical
×
Caso 7: início da polipectomia
×
Caso 9: início da polipectomia
×
Caso 9: cavidade uterina após a polipectomia
×
Caso 10: após a pólipectomia
×
Caso 10: cavidade uterina com o pólipo endometrial
×
Caso 11: cavidade uterina após a polipectomia
×
Caso 11: início da polipectomia
×
Caso 11: polipectomia de lesão endocervical
×
Caso 7: após polipectomia com bethoque final
×
Caso 8 polipectomia com bethoque início
×
Cavidade apos polipec
×
Caso 7: após a polipectomia
×
Polipectomia
×
Polipectomia
×
Polipectomia
×
Polipectomia
×
Após a polipectomia
×
Após a polipectomia
×
Caso 8: Início da polipectomia e ablação emdometrial com energia bipolar
×
Caso 8: Cavidade uterina após a polipectomia e ablação endometrial, com energia bipolar
×
Polipectomia final
×
Após a polipectomia
×
Após a polipectomia
×
pólipo e polipectomia
×
pólipo e polipectomia
×
Após polipectomia
×
Mioma nível 0, início da miomectomia
×
Mioma nível 0 após a miomectomia
×
Mioma nível 0 após a miomectomia
×
Mioma nível 0, início da miomectomia
×
Paciente A: us na septoplastia.
×
Paciente A: Útero septado e após a septoplastia
×
Paciente B: Útero septado foto 1 início da septoplastia
×
Paciente B: Útero septado e após a septoplastia
×
Paciente B: Após a septoplastia e controle intra- operatório com us pélvico
×
Paciente A: 35 Dias após a septoplastia
×
Paciente a cavidade úterina (início da cirurgia)
×
Paciente A: Cavidade uterina após a ablação endometrial
×
Paciente A: Cavidade uterina após a ablação endometrial
×
Paciente A: Cavidade uterina após a ablação endometrial
×
Ultrassonografia pré procedimento
×
Ultrassonografia pré procedimento
×
Septo longitudinal em cavidade endometrial
×
Hemicavidade direita
×
Hemicavidade direita
×
Hemicavidade esquerda
×
Hemicavidade esquerda
×
Hemicavidade esquerda
×
Septoplastia com ponteira bipolar
×
Septoplastia com ponteira bipolar
×
Septoplastia com ponteira bipolar
×
Septoplastia com ponteira bipolar
×
Septoplastia com ponteira bipolar
×
Septoplastia com ponteira bipolar
×
Septoplastia com ponteira bipolar
×
Septoplastia com ponteira bipolar
×
Septoplastia com ponteira bipolar
×
Septoplastia com ponteira bipolar
×
Septoplastia com ponteira bipolar
×
Septoplastia com ponteira bipolar
×
Cavidade uterina normal após septoplastia - histerometro dentro de cavidade uterina com 7 cm
×
Cavidade uterina normal após septoplastia - histerometro dentro de cavidade uterina com 7 cm
×
Panoramica pós septoplastia
×
Panoramica pós septoplastia
×
POLIPECTOMIA
1
2
3
4
5
6
7
8
9
10
11
12
13
14
15
16
17
18
19
20
21
22
23
24
25
26
27
28
29
30
MIOMECTOMIA
31
32
33
34
ABLAÇÃO ENDOMETRIAL
35
36
37
38
SEPTOPLASTIA
39
40
41
42
43
44
45
46
47
48
49
50
51
52
53
54
55
56
57
58
59
60
61
62
63
64
65
66