Global
Brasil
Global
Menu
Who I am
Service
Atlas Hysteroscopy
Contact Us
Who I am
Service
Atlas Hysteroscopy
Contact Us
Back
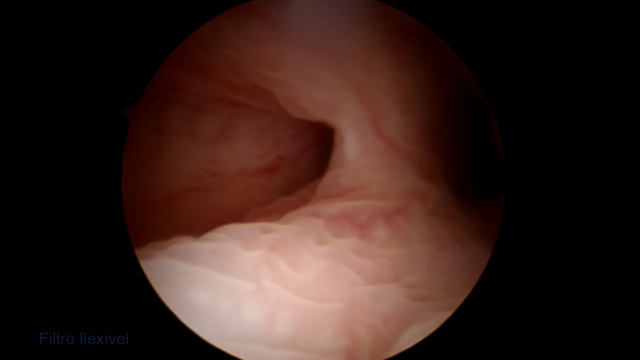
Case 1: Endometrial polyp, beginning of the surgery
×
Case 1: After polypectomy
×
Caso 1 após a polipectomia
×
Case 1: Endometrial polyp, beginning of the surgery
×
Case 2: After polypectomy
×
Case 2: After polypectomy
×
Case 2: Endometrial polyp, beginning of the surgery
×
Case 3: After polypectomy
×
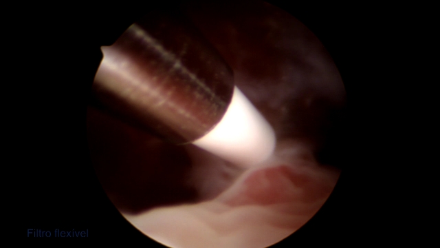
Case 3: Beginning of the polypectomy
×
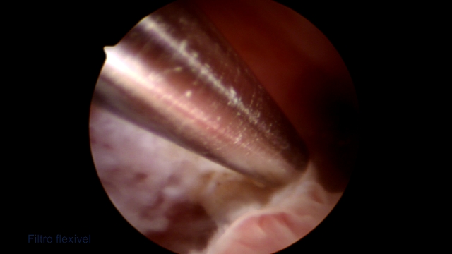
Case 4: Beginning of the polypectomy with a semicircular bipolar loop
×
Case 4: Uterine cavity after polypectomy
×
Case 5: Beginning of the polypectomy
×
Case 5: After polypectomy
×
Case 6: After polypectomy
×
Case 6: Beginning of the polypectomy and endocervical
×
Case 7: Beginning of the polypectomy
×
Case 9: Beginning of the polypectomy
×
Case 9: Uterine cavity after polypectomy
×
Case 10: After polypectomy
×
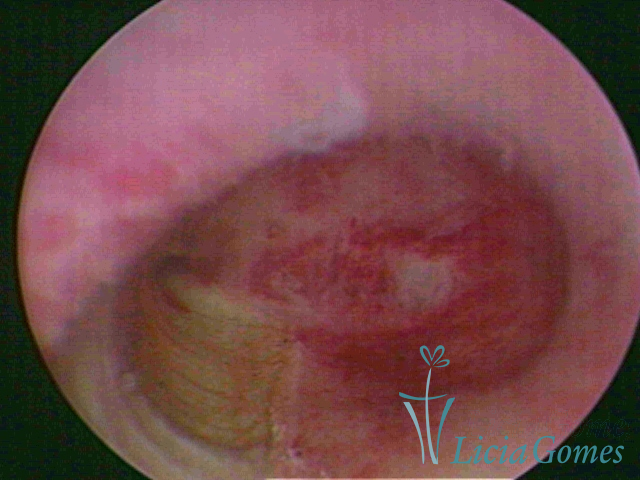
Case 10: Uterine cavity with endometrial polyp
×
Case 11: Uterine cavity after polypectomy
×
Case 11: Beginning of the polypectomy
×
Case 11: Endocervical lesion polypectomy
×
Case 7: After polypectomy with a Bettochi
×
Caso 8 polipectomia com bethoque início
×
Cavidade apos polipec
×
Case 7: After polypectomy
×
Polipectomia
×
Polipectomia
×
Polipectomia
×
Polipectomia
×
After polypectomy
×
After polypectomy
×
Case 8: Beginning of the polypectomy and endometrial ablation with bipolar energy
×
Case 8: Uterine cavity after polypectomy and endometrial ablation, with bipolar energy
×
Polipectomia final
×
After polypectomy
×
Após a polipectomia
×
pólipo e polipectomia
×
pólipo e polipectomia
×
After polypectomy
×
Level 0 myoma, beginning of the myomectomy
×
Level 0 myoma after myomectomy
×
Level 0 myoma after myomectomy
×
Level 0 myoma, beginning of the myomectomy
×
Patient A: Septate uterus on septoplasty
×
Patient A: Septate uterus and after septoplasty
×
Patient B: Septate uterus; picture 1: beginning of the septoplasty
×
Patient B: Septate uterus and after septoplasty
×
Patient B: After septoplasty and intrasurgical control with pelvic septate uterus
×
Paciente A: 35 Dias após a septoplastia
×
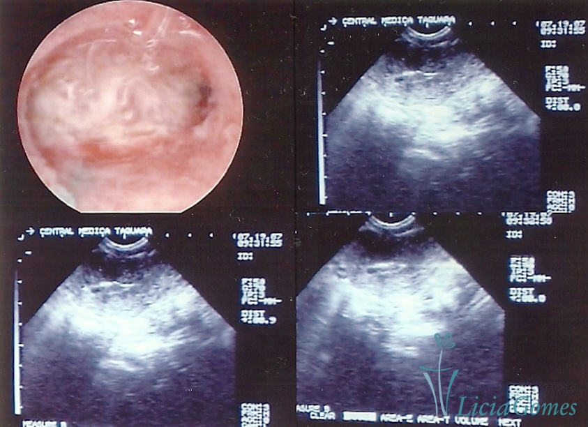
Patient A: Uterine cavity (beginning of the surgery)
×
Patient A: Uterine cavity after endometrial ablation
×
Patient A: Uterine cavity after endometrial ablation
×
Patient A: Uterine cavity after endometrial ablation
×
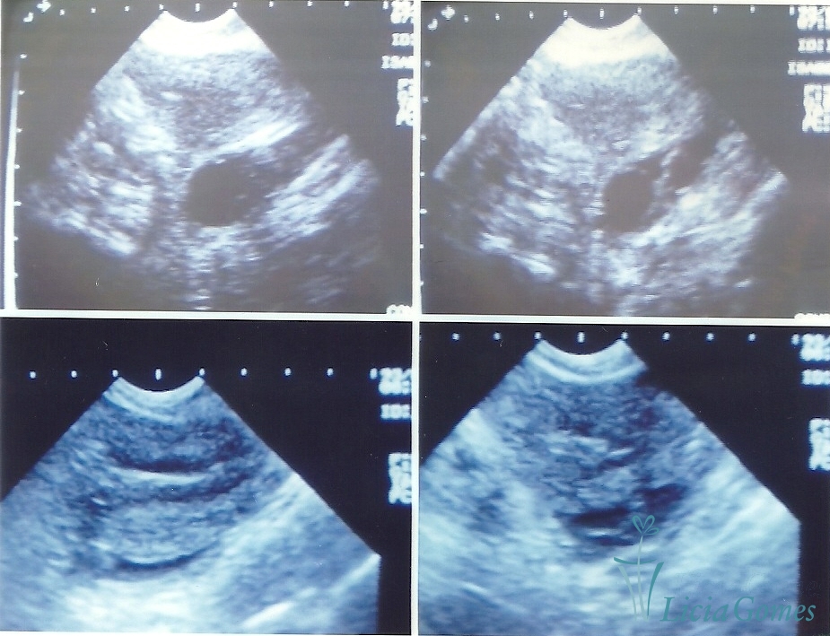
Pre-procedure Ultrasonography
×
Pre-procedure Ultrasonography
×
Longitudinal septum in endometrial cavity
×
Right hemicavity
×
Hemicavidade direita
×
Left hemicavity
×
Left hemicavity
×
Left hemicavity
×
Septoplasty with bipolar forceps
×
Septoplasty with bipolar forceps
×
Septoplasty with bipolar forceps
×
Septoplasty with bipolar forceps
×
Septoplasty with bipolar forceps
×
Septoplasty with bipolar forceps
×
Septoplasty with bipolar forceps
×
Septoplasty with bipolar forceps
×
Septoplasty with bipolar forceps
×
Septoplasty with bipolar forceps
×
Septoplasty with bipolar forceps
×
Septoplasty with bipolar forceps
×
Normal uterine cavity after septoplasty - hysterometer inside a 7cm uterine cavity
×
Normal uterine cavity after septoplasty - hysterometer inside a 7cm uterine cavity
×
Panoramic view post-septoplasty
×
Panoramic view post-septoplasty
×
POLYPECTOMY
1
2
3
4
5
6
7
8
9
10
11
12
13
14
15
16
17
18
19
20
21
22
23
24
25
26
27
28
29
30
MYOMECTOMY
31
32
33
34
ENDOMETRIAL ABLATION
35
36
37
38
SEPTOPLASTY
39
40
41
42
43
44
45
46
47
48
49
50
51
52
53
54
55
56
57
58
59
60
61
62
63
64
65
66