ENDOMETRITIS

The inflammatory process of the uterine cavity, which affects the endometrial mucosa.

ACUTE ENDOMETRITIS

In video hysteroscopy, we observe the endometrium bleeding, its endometrial surface is speckled, presenting a “creamy” aspect and a whitish color with a brightness enhanced by the fibrin accumulated. Bluish or rough areas, which may correspond to cystic necrosis. The presence of adhering mucus or pyometra may occur.

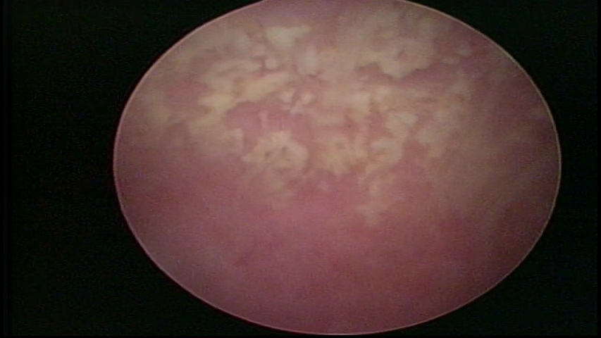
CHRONIC ENDOMETRITIS

The surface of the endometrium may present changes such as a red punctuate forming vascular balls, a smooth, hypervascularized endometrium or intensely presenting red areas, with accurate edges and yellowish white spots in its interior, providing a "STRAWBERRY PEEL" aspect, a pale yellow color of fundic and lateral commissures, in contrast with the intense red color present in the walls.

On Advanced chronic endometritis, a thin endometrium is observed, presenting denude, sometimes ulcered areas of a greenish gray color with micro varicosities presenting a hazel color, more accentuated in the cornual regions (vascular dystrophy.)

    Back

  • 1
  • 2
  • 3
  • 4
  • 5
  • 6
  • 7
  • 8
  • 9
  • 10
  • 11
  • 12
  • 13
  • 14
  • 15
  • 16
  • 17
  • 18
  • 19
  • 20
  • 21
  • 22
  • 23
  • 24
  • 25
  • 26
  • 27
  • 28
  • 29
  • 30
  • 31
  • 32
  • 33
  • 34
  • 35
  • 36
  • 37
All rights reserved Criação de Sites
Top