ENDOMETRIUM HYPERTROPHIES

The "endometrial hypertrophy" definition is used in video hysteroscopy as an equivalent for endometrial hyperplasia since it is a histopathological diagnosis.

The increase of volume, the thickness of the endometrium viewed on the video hysteroscopy, is considered as endometrial hypertrophy, thus, several alterations or normal aspects may be viewed due to its resemblance to the endometrial hypertrophy, as secretor endometrium, iatrogenic endometrium (under drug action), polyps or endometrial cancer.

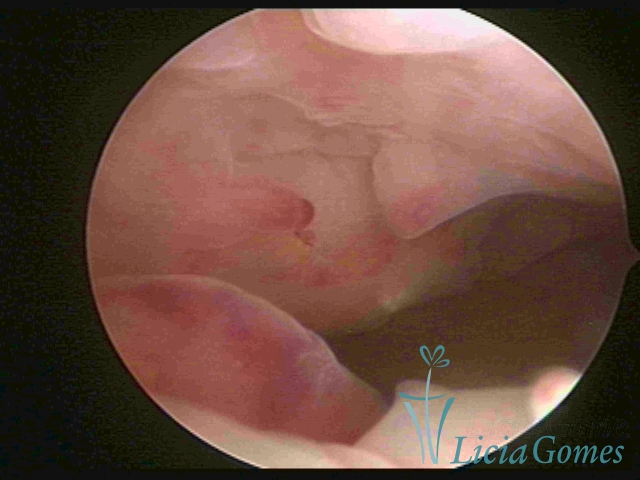
They may occur in a region of the uterine cavity considered as focal hypertrophy or occupy its whole extension, being called diffuse hypertrophy.

Polypoid hypertrophy is viewed when the endometrial growth is more pronounced and, since the space of the uterine cavity is limited, it presents the formation of folds or grooves, simulating pseudopolypoid or polypoid lesions.

With respect to microscopy, we have in the hysteroscopy the equivalent image, which suggests the lesions corresponding to those diagnosed by histopathology.

In simple hypertrophy, there is an increase in the endometrial thickness with a protuberance of the glandular punctuate, differing from the proliferative endometrial pattern by the loss of superficial reticular vascularization. Another form of simple hyperplasia is the cystic glandular hyperplasia, which also presents cystic lesions intercalated to the hypertrophic endometrium.

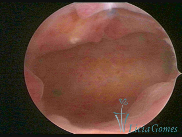
Complex Hyperplasia has a pseudopolypoid aspect which resembles cerebroid tissue or with decidual reaction. The superficial vascularization is more evident, presenting vessels in the shape of corkscrew or spiral.

Atypical hyperplasia and histeroscopical aspect are similar to complex hypertrophy, also presenting vascularization with atypias. With the increase of the thickness of the superficial vessels, tissues in necrosis may also be found.

Microscopy is also responsible for the differential diagnosis of Hyperplasia with atypia and Adenocarcinoma of the endometrium.

    Back

    ENDOMETRIUM HYPERTROPHIES

  • 1
  • 2
  • 3
  • 4
  • 5
  • 6
  • 7
  • 8
  • 11
  • 12
  • 13
  • 14
All rights reserved Criação de Sites
Top