Uterine myoma

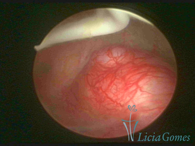
Myoma (leiomyoma, Scleroma, Fibroma, Fibromyoma, Fibroleiomyoma, Rhabdomyoma) is a benign tumor mainly constituted of smooth muscle cells associated with fibrous connective tissue in a variable number. Hysteroscopically, submucous and intramural myomas cause a bulge of the endometrial layer.
When the sessile myomas are round, smooth and red when stalked myomas become pale due to focal hypertrophy and present a translucent superficial vascularization.
The rating the most used in our area is that of the European Association of Endoscopic Surgery:
Level 0: the myomas are located in the interior of the uterus, not presenting any part on the myometrium.

Level 1: an intramural component of the myoma appears, but more than 50% of the volume of the nodule is located at the uterine cavity.

Level 2: more than 50% of the Myoma is intramural

    Back

  • 1
  • 2
  • 3
  • 4
  • 5
  • 6
  • 7
  • 8
  • Level 0 myoma

  • 9
  • 10
  • 11
  • 12
  • 13
  • 14
  • 15
  • 16
  • 17
  • 18
  • 19
  • 20
  • 21
  • 22
  • 23
  • 24
  • 25
  • 26
  • 27
  • 28
  • 29
  • 30
  • 31
  • 32
  • Level 1 myoma

  • 33
  • 34
  • 35
  • 36
  • 37
  • 38
  • 39
  • 40
  • 41
  • Level 2 myoma

  • 42
  • 43
  • 44
  • 45
  • 46
  • 47
  • 48
  • 49
  • 50
All rights reserved Criação de Sites
Top