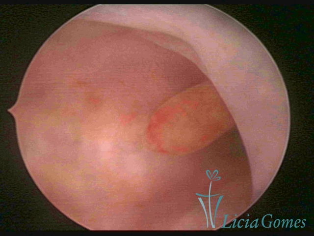
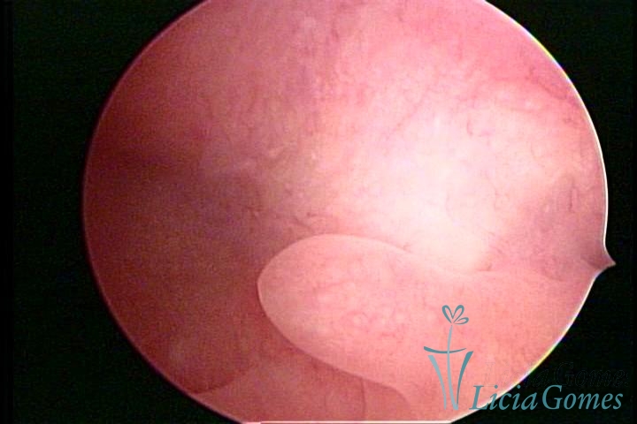
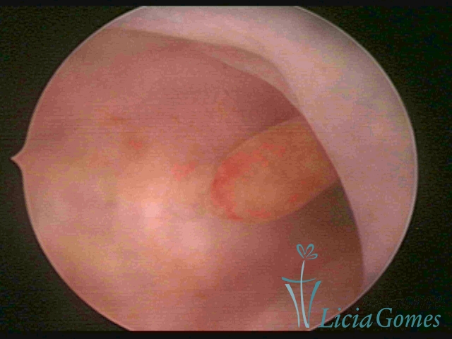
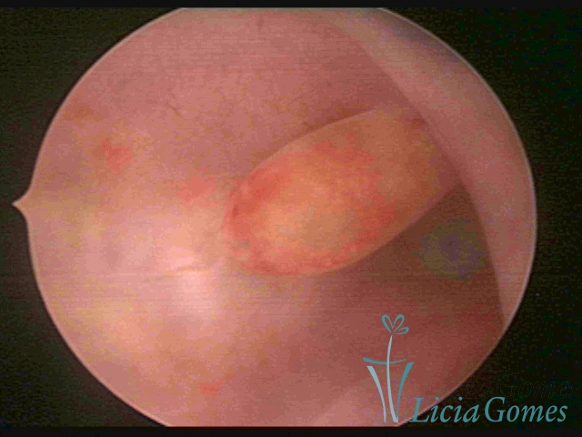
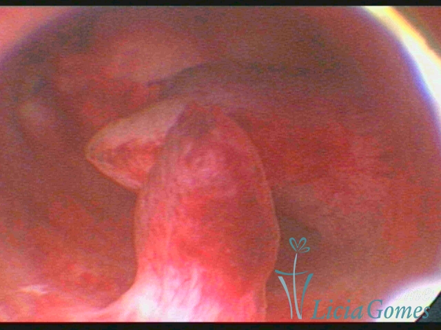
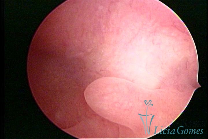
Organized glandular proliferations which may vary in shape, volume, and number, commonly associated with endometrium hypertrophies.
In hysteroscopy, polyps may be classified as glandular or functional, fibrous, fibrocystic.
With the development of the connective tissue, the polyps acquire a harder consistency, being called fibrous polyps.
Fibrocystic polyps also have a harder consistency, with the presence of connective tissue areas and cystic areas.









































































































