HIPERTROFIAS DE ENDOMÉTRIO

A denominação hipertrofia endometrial é utilizada na video-histeroscopia, na equivalência do termo hiperplasia endometrial, por este ser um diagnóstico histopatológico.

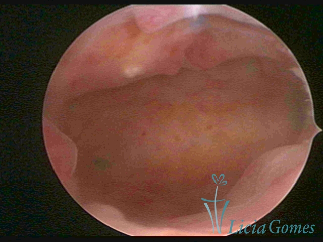
Assim o aumento do volume, a espessura do endométrio visualizado na vídeo-histeroscopia, é considerado hipertrofia endometrial, dessa forma, várias alterações ou aspectos normais podem ser visualizados à semelhança da hipertrofia endometrial, como endométrio secretor, o endométrio iatrogênico (sob o estímulo medicamentoso), pólipos ou câncer endometrial.

Podem ocorrer em uma região da cavidade uterina, considerada hipertrofia focal ou ocupando toda a sua extensão, então denominada hipertrofia difusa.

A hipertrofia polipoide é visualizada quando o crescimento endometrial é mais pronunciado, e como o espaço da cavidade uterina é limitado, forma dobras ou sulcos, simulando lesões pseudo polipoides ou polipoides.

Quanto à microscopia, temos na histeroscopia a referida imagem equivalente, onde sugerem as lesões correspondentes às diagnosticadas pela histopatologia.

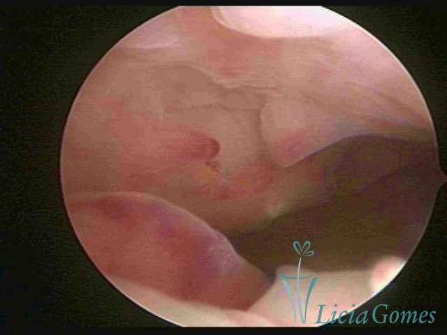
Na hipertrofia simples há um aumento da espessura endometrial com protuberância do pontilhado glandular, diferindo do padrão endometrial proliferativo pela perda da vascularização reticular superficial. Outra forma de hiperplasia simples é a glandular cística, onde também se visualiza lesões císticas intercaladas ao endométrio hipertrófico.

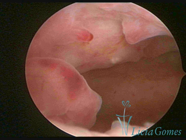
A Hiperplasia Complexa tem um aspecto pseudo polipoide, lembrando tecido cerebroide ou com reação deciduoide. A vascularização superficial é mais evidente e com vasos em formatos de saca-rolha ou espirais.

A Hiperplasia atipia e o aspecto histeroscópico são semelhantes à da hipertrofia complexa, visualizando também a vascularização com atipias. Com o aumento do calibre dos vasos superficiais, pode ser encontrado também tecido em necrose.

Cabe também à microscopia o diagnóstico diferencial da Hiperplasia com atipia e o Adenocarcinoma de endométrio.

    Voltar

    HIPERTROFIAS DE ENDOMÉTRIO

  • 1
  • 2
  • 3
  • 4
  • 5
  • 6
  • 7
  • 8
  • 11
  • 12
  • 13
  • 14
Todos direitos reservados Criação de Sites
Top