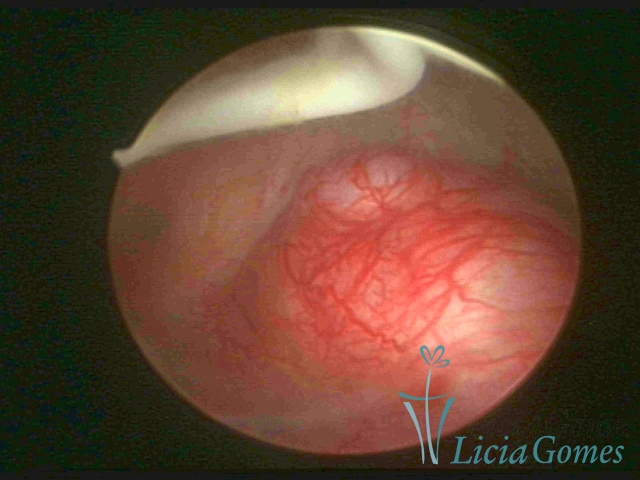
MIOMA

Mioma é um tumor benigno constituído fundamentalmente por células musculares lisas associadas a tecido conjuntivo fibroso em quantidade variável. Histeroscopicamente, os miomas submucosos e intramurais causam um abaulamento da camada endometrial. Quando sésseis são redondos, lisos e avermelhados; quando pediculados tornam-se pálidos pela hipotrofia focal e apresenta uma vascularização superficial translúcida.

A classificação mais usada em nosso meio é a da Sociedade Europeia de Cirurgia Endoscópica:

Nível 0: os miomas, se encontram totalmente no interior do útero, não havendo qualquer porção no miométrio.

Nível 1: há componente intramural do mioma, porém mais de 50% do volume do nódulo encontra-se na cavidade uterina.

Nível 2:mais de 50% do Mioma é intramural

    Voltar

  • 1
  • 2
  • 3
  • 4
  • 5
  • 6
  • 7
  • 8
  • Mioma nível 0

  • 9
  • 10
  • 11
  • 12
  • 13
  • 14
  • 15
  • 16
  • 17
  • 18
  • 19
  • 20
  • 21
  • 22
  • 23
  • 24
  • 25
  • 26
  • 27
  • 28
  • 29
  • 30
  • 31
  • 32
  • Mioma nível 1

  • 33
  • 34
  • 35
  • 36
  • 37
  • 38
  • 39
  • 40
  • 41
  • Mioma nível 2

  • 42
  • 43
  • 44
  • 45
  • 46
  • 47
  • 48
  • 49
  • 50
Todos direitos reservados Criação de Sites
Top