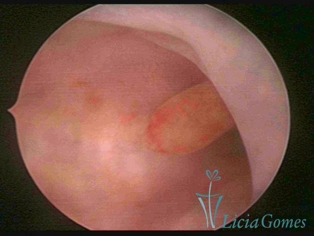
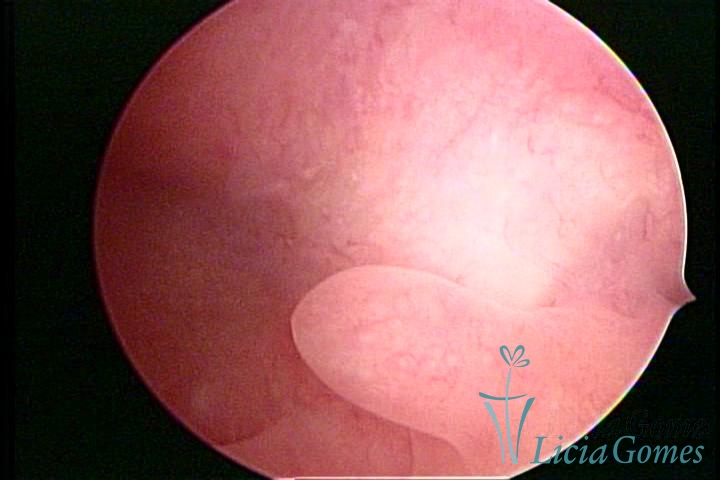
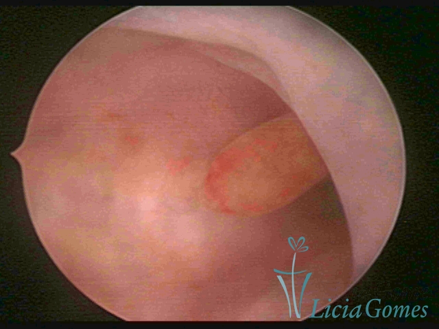
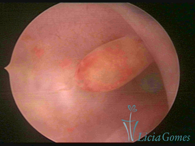
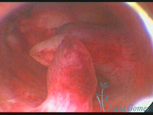
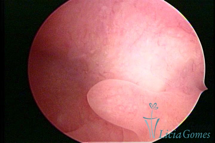
São proliferações glandulares organizadas, variáveis na forma, volume e quantidade, estando comumente associados à hipertrofias do endométrio.
Na histeroscopia são classificados como: pólipos glandulares ou funcionais, fibrosos, fibrocístico.
Os pólipos funcionais referem-se à uma hipertrofia focal da camada funcional do endométrio.
Com o desenvolvimento de tecido conjuntivo, os pólipos adquirem consistência mais rígida, sendo então, denominados pólipos fibrosos.
Os pólipos fibrocísticos também têm a consistência mais rígida, com a existência de áreas de tecido conjuntivo e áreas císticas
























































































































